Latest Updates
-
घर से मुस्लिम प्रेमी संग भागी महाकुंभ वायरल गर्ल मोनालिसा, क्या केरल में कर रही हैं शादी? -
कौन हैं सायली सुर्वे? मिसेज इंडिया अर्थ 2019 ने मुस्लिम पति पर लगाए लव जिहाद के आरोप, हिंदू धर्म में की वापसी -
कौन हैं हरीश राणा, जिन्हें सुप्रीम कोर्ट ने दी इच्छामृत्यु की अनुमति? जानिए 13 साल से कोमा में क्यों थे -
Sheetala Ashtami 2026: शीतला अष्टमी पर चाय पी सकते हैं या नहीं? जानें व्रत से जुड़े सभी जरूरी नियम -
Sheetala Ashtami 2026: शीतला अष्टमी के दिन झाड़ू लगाना शुभ या अशुभ? बसौड़ा पर भूलकर भी न करें ये गलतियां -
Sheetala Ashtami 2026: 11 या 12 मार्च, कब है शीतला अष्टमी? जानिए सही डेट, शुभ मुहूर्त और पूजा विधि -
Sheetala Ashtami Vrat Katha: शीतला अष्टमी पर जरूर पढ़ें ये व्रत कथा, घर में आएगी सुख-समृद्धि -
Sheetala Ashtami 2026 Wishes: मां शीतला का आशीर्वाद बना रहे...इन संदेशों के साथ अपनों को दें बसौड़ा की बधाई -
कौन हैं संजू सैमसन की पत्नी चारुलता रमेश? टी20 वर्ल्ड कप जीत के बाद क्रिकेटर ने लिखा भावुक पोस्ट -
रणदीप हुड्डा बने पापा, लिन लैशराम ने बेटी को दिया जन्म, इंस्टाग्राम पर शेयर की क्यूट फोटो
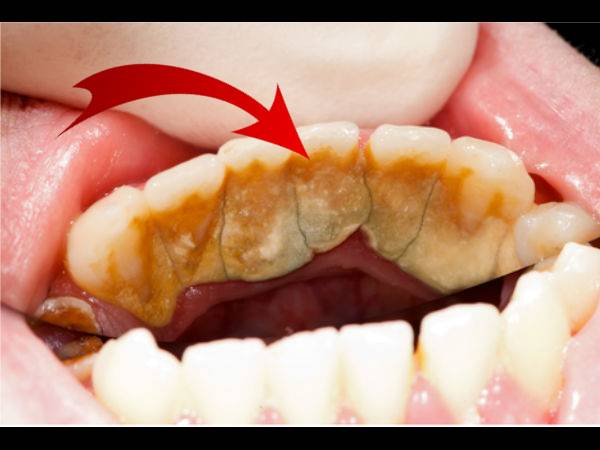
सिर्फ टूथपेस्ट करने से नहीं जाते है दांतों से लगे जिद्दी टार्टर, ये 4 घरेलू पेस्ट कर देते है खात्मा
प्लाक हर किसी के दांतों पर बनता है लेकिन कुछ घरेलू उपचार के जरिए आप अतिरिक्त मात्रा में इसे बढ़ने से रोकता है। गलत खानपान और अस्त व्यस्त लाइफस्टाइल के चलते दांतों का पीलेपन की समस्या होने लगती है जिसे से टार्टर कहते हैं। टार्टर दिखने में जितना गंदा सा दिखता है उतना ही साफ करना भी मुश्किल होता है। जबकि अच्छी तरह से ब्रश करने, फ्लॉस करने और माउथवॉश करने से ओरल हेल्थ का बरकरार रखा जा सकता है। आज हम आपको ऐसे चार पेस्ट के बारे में बता रहे है जो आपके दांतों से प्लाक या टार्टर दूर करने में मदद करता है।

संतरे के छिलके का पेस्ट
टार्टर से छुटकारा पाने के लिए ऑरेंज पील का सीधा इस्तेमाल कर सकते हैं। इसके लिए ऑरेंज पील का एक टुकड़ा लें और इससे अपने दांतों को लगभग 2 मिनट तक साफ करें। इसके अलावा टार्टर से छुटकारा पाने के लिए ऑरेंज जूस का उपयोग भी कर सकते हैं।

बेकिंग सोडा
अगली बार जब आप अपने दांत ब्रश करें, तो टूथपेस्ट के बजाय बेकिंग सोडा से करे। बेशक, आपको नियमित टूथपेस्ट का भी उपयोग करने की आवश्यकता होगी, लेकिन बेकिंग सोडा से ब्रश करने से बैक्टीरिया को मारने में मदद मिलती है। यह प्राकृतिक क्लीनर के रुप में काम करता है। आपके दांतों पर आपके सामान्य अपने नॉर्मल ब्रशिंग रूटीन के लगभग 15 मिनट के बाद इसे छोड़ दे। इससे टार्टर की समस्या दूर होगी। इसके अलावा बेकिंग सोडा से दांतों को सफेद और सांसों को तरोताजा करने में मदद मिलती है।

वाइट विनेगर
वाइट विनेगर में एंटीबैक्टीरियल गुण होते हैं जो दांतों से नेचुरल तरीके से टार्टर को दूर करते हैं। वाइट विनेगर में एसिटिक एसिड टार्टर को कम करता है। आधा कप पानी में 2 चम्मच सफेद सिरका और आधा चम्मच नमक मिलाएं। इसे अच्छी तरह से एक बार हिल्ला लें और कुल्ला कर लें। दिन में 2 से 3 बार इस पेस्ट का यूज़ किया जा सकता है।

एलोवेरा
एलोवेरा दांतों से टार्टर को हटाने में मदद करता है। एलोवेरा का पेस्ट बनाने के लिए 1 चम्मच एलोवेरा जेल, चार चम्मच ग्लिसरीन, 5 बड़े चम्मच बेकिंग सोडा, नींबू और एक कप पानी लें। अब सबको मिक्स करके लगाए और इससे अपने दांतों को स्क्रब करें।



Click it and Unblock the Notifications











