Latest Updates
-
लंच में बनाएं उत्तर प्रदेश की चना दाल कढ़ी, उंगलिया चाटते रह जाएंगे घरवाले -
Gangaur Ke Geet: 'आ टीकी बहू गोराँ ने सोवै'...इन मधुर गीतों के बिना अधूरी है गौरा पूजा, यहां पढ़ें पूरे लिरिक्स -
प्रेगनेंसी के शुरुआती 3 महीनों में भूलकर भी न खाएं ये 5 चीजें, वरना बच्चे की सेहत पर पड़ेगा बुरा असर -
Viral Video: टीम इंडिया की T20 वर्ल्ड कप जीत पर पाकिस्तान में जश्न, काटा केक और गाया 'जन-गण-मन' -
कौन हैं Mahieka Sharma? जिसके प्यार में 'क्लीन बोल्ड' हुए Hardik Pandya, देखें वायरल वीडियो -
कौन हैं Aditi Hundia? T20 वर्ल्ड कप जीत के बाद Ishan Kishan के साथ डांस Video Viral -
काले और फटे होंठों से हैं परेशान? तो पिंक लिप्स पाने के लिए आजमाएं ये घरेलू नुस्खे -
Chaitra Navratri 2026: 8 या 9 दिन जानें इस बार कितने दिन के होंगे नवरात्र? क्या है माता की सवारी और इसका फल -
Gangaur Vrat 2026: 20 या 21 मार्च, किस दिन रखा जाएगा गणगौर व्रत? नोट करें तिथि, पूजा का शुभ मुहूर्त -
घर में लाल चीटियों का दिखना शुभ है या अशुभ? जानें शकुन शास्त्र के ये 5 बड़े संकेत
कोरोना को मात देने के बाद जरूरी हैं ये टेस्ट, हेल्थ मॉनिटरिंग के लिए जानें डिटेल
कोरोना वायरस की दूसरी लहर में रोजाना हजारों लोगों की मौत हो रही है। वहीं कोरोना रिकवरी रेट में काफी सुधार आया है। लाखों संक्रमित लोग कोरोना से ठीक हो रहे हैं। हेल्थ एक्सपर्ट्स कोरोना से ठीक हुए लोगों को वैक्सीन लगवाने और सेहत का ध्यान रखने के लिए कह रहे हैं। एक्सपर्ट्स के अनुसार कोरोना के ठीक होने के बाद अपनी हेल्थ को मॉनिटर करते रहें। कोविड से ठीक होने के बाद मरीजों को इन टेस्ट की सलाह दी जाती है।

कोविड से ठीक होने के बाद चेकअप की जरुरत क्यों
कोरोना संक्रमण के दौरान हमारा इम्यून सिस्टम वायरस के खिलाफ लड़ाई लड़ता है। कुछ मामलों में देखने को मिला है कि कोरोना लंबे समय तक शरीर को प्रभावित कर सकता है। एक्सपर्ट का कहना है कि ब्लड और इम्यून सिस्टम को वायरस काफी हद तक प्रभावित करता है। अगर आप गंभीर संक्रमण के दौर से गुजरे है तो तब टेस्ट और स्कैन बहुत ही महत्वपूर्ण हो जाता है। कोरोना वायरस इंसान के लंग्स को काफी प्रभावित करता है। ऐसे में टेस्ट और स्कैन से पता किया जा सकता है कि आप कितने स्वस्थ हुए हैं।

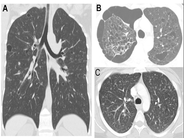
सिटी स्कैन टेस्ट
चेस्ट सिटी स्कैन टेस्ट से पता किया जा सकता है कि आपकी रिकवरी कैसी हो रही है। सिटी स्कैन टेस्ट से लंग फंक्शन रिकवरी के बारे में पता किया जाता है।

विटामिन डी टेस्ट
विटामिन डी एक महत्वपूर्ण पोषक तत्व है जो हमारे इम्यून फंक्शन को सपोर्ट करता है कोविड संक्रमण के दौरान विटामिन डी रिकवरी को तेज करने में मदद करता है। विटामिन डी टेस्ट करना जरुरी होता है।

हार्ट इमेज, कार्डियक स्क्रीनिंग टेस्ट
कोरोना वायरस की वजह से शरीर में बहुत कमजोरी हो जाती है। कोविड इंफेक्शन में शरीर में बहुत अधिक इन्फ्लेमेशन होता है जिसकी वजह से हार्ट की मांसपेशियां कमजोर हो जाती है। कोरोना से रिकवर होने वाले कई मरीजों में हार्ट बीट असामान्य जैसी समस्या देखने को मिलती है। इसलिए रिकवरी के बाद हार्ट इमेज या फिर कार्डियक स्क्रीनिंग टेस्ट जरुर कराएं।

न्यूरो टेस्ट
कोरोना वायरस से ठीक होने के बाद मरीज कई महीनों तक साइकोलॉजिकल और न्यूरोलॉजिकल लक्षण देखने को मिल रहे है। ऐसे में कोरोना से ठीक होने के बाद ब्रेन और न्यूरोलॉजिकल फंक्शन टेस्ट जरुर करवाएं ताकि ब्रेन फॉग, ऐंग्जाइटी, थकान और चक्कर आने जैसे लक्षणों का पता लग सकें।

CBC टेस्ट
सीबीसी टेस्ट कम्पलीट ब्लड काउंट टेस्ट है। इस टेस्ट से ब्लड सेल्स (आरबीसी, डब्ल्यूबीसी, प्लेटलेट्स) को मापता है। इस टेस्ट से पता किया जा सकता है कि कोरोना संक्रमण के बाद आप कितने सेहतमंद है और किन चीजों का ध्यान रखना चाहिए।

ग्लूकोज - कोलेस्ट्रॉल टेस्ट
कोरोना वायरस उन मरीजों को भी डायबिटीज का मरीज बना रहा है जिसमें संक्रमण से पहले डायबिटीज के कोई लक्षण नहीं थें। इसी वजह से कोविड 19 से ठीक होने के बाद ग्लूकोज टेस्ट कराएं ताकि ब्लड में ग्लूकोज का लेवल का पता कर इसे ठीक किया जा सकता है।



Click it and Unblock the Notifications











