Latest Updates
-
गर्मियों में पेट की जलन से हैं परेशान? ये योगसान एसिडिटी से तुरंत दिलाएंगे राहत -
Heatwave Alert: अगले 5 दिनों तक इन शहरों में चलेगी भीषण लू, 44°C तक पहुंचेगा पारा, IMD ने जारी की एडवाइजरी -
Budh Gochar: रेवती नक्षत्र में आकर बुध बनेंगे शक्तिमान, इन 5 राशियों के शुरू होंगे अच्छे दिन -
Bank Holiday May 2026: मई में छुट्टियों की भरमार! 1 तारीख को ही लगा मिलेगा ताला, चेक करें लिस्ट -
पेट में गर्मी बढ़ने पर दिखते हैं ये 7 लक्षण, दूर करने के लिए अपनाएं ये 5 घरेलू उपाय -
कहीं आप भी तो नहीं खा रहे केमिकल वाला आम? खाने से पहले 2 मिनट में ऐसे करें असली और नकली की पहचान -
बेटी की उम्र 10 साल होने से पहले ही उसे सिखा दें ये 5 जरूरी बातें, जीवन में रहेगी हमेशा आगे -
क्या सच हो गई बाबा वेंगा की 2026 की भविष्यवाणी? 48 घंटों में जापान से भारत तक भूकंप के झटकों से कांपी धरती -
Bada Mangal 2026: 19 साल बाद ज्येष्ठ में पड़ेंगे 8 बड़े मंगल, नोट कर लें बुढ़वा मंगल की सभी तारीख और महत्व -
पैर में काला धागा बांधना शुभ या अशुभ? जानें शनि-राहु से इसका कनेक्शन और बांधने का सही तरीका
क्या होता है डिप्थीरिया, सितम्बर में फैलने वाली इस बीमारी के बारे में जानें

दिल्ली में डिप्थीरिया के कैसेज दिनों दिन बढ़ते जा रहे हैं, अब तक इस बैक्टीरिया की वजह से 19 बच्चें अपनी जान गंवा चुके हैं। डिप्थीरिया नामक बैक्टीरिया 2 से 15 साल के बच्चों को अपनी चपेट में लेता है, खासतौर से ऐसे बच्चें , जिन्हें कभी एंटी- डिप्थीरिया वैक्सीन नहीं लगाया गया हो।
डिप्थीरिया का बैक्टीरिया हर साल सितंबर महीने में क्टिव हो जाता है और अक्टूबर महीने के बाद इसमें कमी आनी शुरू हो जाती है। इसकी वजह से हर साल कई बच्चों की मौत हो जाती है। ऐसे में हम आपको बता रहे हैं कि आखिर क्या है डिप्थीरिया और इससे कैसे आप अपने बच्चों को बचा सकते हैं।

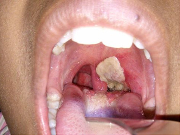
कैसे बनती है डिप्थीरिया में झिल्ली
डिप्थीरिया में शरीर के किसी भाग पर छद्म-झिल्ली का निर्माण हो जाता है। बैक्टीरिया से छोड़े गए जहर से जुड़े बेकार उत्पादों और प्रोटीन से एक झिल्ली बन जाती है जो कि बहुत ही महीन सी झिल्ली होती है जो सेल्स से चिपक जाती है और सांस लेने में परेशानी पैदा कर सकती है।

कैसे फैलता है?
डिप्थीरिया का पूरा नाम कोरीनेबैक्टीरियम डिप्थीरिया है ये बीमारी डिप्थीरी नामक एक बैक्टीरिया की वजह से फैलता है। इस बीमारी को गलघोंटू के नाम से भी जाना जाता है। यह एक प्रकार की संक्रामक बीमारी होती है जो कि किसी पीड़ित व्यक्ति के सम्पर्क में आने से या उसके द्वारा उपयोग में ली गई किसी वस्तु को छूने से भी फैल सकती है। जब डिप्थीरिया से पीड़ित व्यक्ति के छींकने, खांसने और और बहती हुई नाक से बैक्टीरिया हवा में प्रवेश करके उसके सम्पर्क में आने वाले व्यक्ति को संक्रमित कर देते हैं।

डिप्थीरिया का बैक्टीरिया हर साल सितंबर महीने में एक्टिव हो जाता है और डिप्थीरिया एक प्रकार के इंफेक्शन से फैलने वाली बीमारी है। इसके चपेट में ज्यादातर बच्चे आते हैं। हालांकि बीमारी बड़ों में भी हो सकती है, लेकिन बच्चें आसानी से चपेट में आ जाते है। ये बैक्टीरिया सबसे पहले गले में इंफेक्शन करता है। इससे सांस नली तक इंफेक्शन फैल जाता है। डिप्थीरिया कम्यूनिकेबल डिजीज है यानी यह बड़ी आसानी से एक व्यक्ति से दूसरे में फैलता है।

बीमारी के लक्षण
- सांस लेने में कठिनाई
- गर्दन में सूजन
- ठंड लगना
- बुखार
- गले में खराश, खांसी
- इंफेक्शन मरीज के मुंह, नाक और गले में रहता है और फैलता है।

इन बातों का रखें ध्यान
- डिप्थीरिया बैक्टीरिया उन्हें जल्दी अपना शिकार बनाता है जिन्होंने डिप्थीरिया का वैक्सीनेशन नहीं कराया हो।
- गंदे और भीड़ वाले इलाकों में ये बीमारी फैलने का ज्यादा डर रहता है।
- डिप्थीरिया से प्रभावित क्षेत्रों में जाने से बचें।
- ऐसे व्यक्ति के सम्पर्क में जाने से बचें जो पहले से किसी संक्रमण या महामारी से पीड़ित हो।

वैक्सीनेशन है जरूरी
वैक्सीनेशन से बच्चे को डिप्थीरिया बीमारी से बचाया जा सकता है। नियमित टीकाकरण में डीपीटी (डिप्थीरिया, परटूसस काली खांसी और टिटनेस) का टीका लगाया जाता है। 1 साल के बच्चे को डीपीटी के 3 टीके लगते हैं। इसके बाद डेढ़ साल पर चौथा टीका और 4 साल की उम्र पर पांचवां टीका लगता है। टीकाकरण के बाद डिप्थीरिया होने की संभावना नहीं रहती है।

बचाव
डिप्थीरिया के मरीजों को एंटी-टॉक्सिन्स दिए जाते है इस से इस संक्रमण को रोका जाता है शुरुआती समय में कम एंटी टॉक्सिन्स दिए जाते है लेकिन बाद में आवश्यकता पड़ने पर धीरे धीरे इन्हे बढ़ाया जाता है।आप अपने बच्चे को जन्म के बाद डिप्थीरिया के टीके लगवाएं इन्हे लगवाने से डिप्थीरिया नहीं होता है।



Click it and Unblock the Notifications











