हिन्दी Edition
తెలుగు
English
ಕನ್ನಡ
മലയാളം
தமிழ்
বাংলা
ગુજરાતી
Get Updates
Get notified on trends, wellness, and lifestyle stories just for you!
सब्स्क्रिप्शन नोटिफिकेशन को मैनेज करने के लिए यहां क्लिक करें।
To start receiving timely alerts, as shown below click on the Green “lock” icon next to the address bar
Click it and Unblock the Notifications
Close X
Close X
To Start receiving timely alerts please follow the below steps:
Click on the Menu icon of the browser, it opens up a list of options.
Click on the “Options ”, it opens up the settings page,
Here click on the “Privacy & Security” options listed on the left hand side of the page.
Scroll down the page to the “Permission” section .
Here click on the “Settings” tab of the Notification option.
A pop up will open with all listed sites, select the option “ALLOW“, for the respective site under the status head to allow the notification.
Once the changes is done, click on the “Save Changes” option to save the changes.
Notifications
Clear All
No Notifications
A Oneindia Venture
होम
सौंदर्य
स्वास्थ्य
ज्योतिष
प्रेगनेंसी-पेरेंटिंग
रिलेशनशिप
जरा हट के
फैशन
धर्मदर्शन
रेसिपी
होम-गार्डन
Home
विषय
कैल्शियम
सर्दियों में रोज़ पिएं दूध और गुड़, नहीं होंगी ये बीमारियां
केवल दूध में ही नहीं बल्कि इन 20 चीज़ों में भी है जोरदार कैल्शियम
जानें, कौन से नट्स खाने चाहिये किस टाइम?
जानिए लड़कों के दुबले होने के कारण और इसका उपाय
रोजाना 1 अखरोट खाने से होते हैं ये 9 फायदे
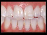
क्या आपके दांतों पर सफेद धब्बे हैं? तो जरुर पढ़ें उपचार
मजबूत हड्डियां चाहिये तो इन खाद्य पदाार्थों से लीजिये कैल्शियम
फटे दूध से बनाएं ये स्वास्थ्यवर्धक चीजें
दूध के अलावा इन 10 चीज़ों में भी होता है काफी कैल्शियम
शाकाहारी हैं तो प्रोटीन के लिये खाएं ये 12 आहार
इन 6 लक्षणों को देख कर पता लगाएं कहीं आपमें तो नहीं है कैल्शियम की कमी
कैसे दूर करें कैल्शियम की कमी
Previous
Next
Notifications
Settings
Clear Notifications
No New Notifications
Notifications
Use the toggle to switch
on
notifications
Block for 8 hours
Block for 12 hours
Block for 24 hours
Don't block
To start receiving timely alerts, as shown below click on the Green “lock” icon next to the address bar
Click it and Unblock the Notifications
Close X
Close X
To Start receiving timely alerts please follow the below steps:
Click on the Menu icon of the browser, it opens up a list of options.
Click on the “Options ”, it opens up the settings page,
Here click on the “Privacy & Security” options listed on the left hand side of the page.
Scroll down the page to the “Permission” section .
Here click on the “Settings” tab of the Notification option.
A pop up will open with all listed sites, select the option “ALLOW“, for the respective site under the status head to allow the notification.
Once the changes is done, click on the “Save Changes” option to save the changes.
Log in for Better Reading Experience!
Continue with Google
By signing in, you agree to our
Terms
and
Privacy Policy
Gender
Select your Gender
Male
Female
Others
Age
Select your Age Range
Under 18
18 to 25
26 to 35
36 to 45
45 to 55
55+
Sign Out
Desktop Bottom Promotion