Latest Updates
-
Eid Kab Hai 2026: भारत में किस दिन दिखेगा ईद का चांद? नोट कर लें ईद-उल-फितर की तारीख -
T20 World Cup 2026: क्या टीम इंडिया फिर रचेगी इतिहास? जानें क्या कहती है डॉ. वाई राखी की भविष्यवाणी -
क्या आप भी हैं 'सुपरवुमन सिंड्रोम' की शिकार? जानें इसका सच और बचने के तरीके -
Women’s Day Wishes For Girlfriend: नारी है शक्ति...इन संदेशों से अपनी गर्लफ्रेंड को दें महिला दिवस की शुभकामना -
Women's Day Special: 30 की उम्र के बाद महिलाएं फॉलो करें ये हेल्थ टिप्स, कई बीमारियों से होगा बचाव -
Rang Panchami 2026: रंग पंचमी पर कर लिए ये अचूक उपाय तो चमक जाएगी किस्मत, वैवाहिक जीवन रहेगा खुशहाल -
8 मार्च को ही क्यों मनाया जाता है अंतर्राष्ट्रीय महिला दिवस? जानें इस दिन का इतिहास और इस साल की थीम -
Rang Panchami 2026: कब है रंग पंचमी? जानें तिथि, पूजा का शुभ मुहूर्त और धार्मिक महत्व -
पेट के कैंसर के शुरुआती स्टेज में दिखाई देते हैं ये 5 लक्षण, ज्यादातर लोग साधारण समझकर करते हैं इग्नोर -
Bhalchandra Sankashti Chaturthi Katha: भालचंद्र संकष्टी चतुर्थी पर जरूर पढ़ें ये व्रत कथा, दूर होगी हर परेशानी
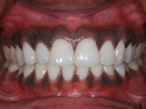
काले मसूड़ें छिन सकते है आपकी खूबसूरत मुस्कान, जानिए कारण और इलाज
शरीर की बाकी देखभाल के साथ ही ओरल केयर भी बहुत जरुरी होता है। अगर मसूड़े स्वस्थ और सुंदर हो तो एक खूबसूरत सी मुस्कान में चार चांद लगा देते है और अगर गहरे और काले रंग के हो तो हमारी शर्म का कारण बनता है। कई लोगों के मसूड़े सामान्य की तुलना में काले और गहरे रंग के होते है जो दिखने में बिल्कुल भी अच्छे नहीं दिखाई देते है।
बिगड़ती लाइफस्टाइल, जैनेटिक और मेडिकल स्थितियों के वजह से भी मसूड़ें काले बन जाते हैं। आइए जानते है कि आखिर किन वजहों से मसूड़े काले होते है और इन्हें कैसे फिर से खूबसूरत बनाया जा सकता है।

मेलानिन
शरीर स्वाभाविक रूप से मेलेनिन नामक तत्व पैदा करता है, एक पदार्थ जो त्वचा, बालों और आंखों को उनका रंग देता है। एक व्यक्ति के शरीर में जितना अधिक मेलेनिन होता है, उनके बाल, त्वचा या आंखें का रंग उतना ही गहरा होता है।
गहरे भूरे या काले मसूड़ों के कारण शरीर में अधिक मेलेनिन का होना भी हो सकता है। अगर किसी व्यक्ति के मसूड़े हमेशा से ही गहरे रंग के थे तो ये कोई ज्यादा चिंता करने वाली बात नहीं है।

केरेटीनाइज्ड लेयर की वजह से
काले मसूड़ों की समस्या जिंजाइवा की केरेटीनाइज्ड लेयर में काले पिगमेंट उत्पन्न करने वाली मिलेनोसाइट्स सेल के वजह से होती है। जिसके कारण मसूड़े गुलाबी के स्थान पर काले दिखाई देते हैं।

धूम्रपान
मसूड़ों के कालेपन का एक मुख्य वजह धूम्रपान भी होती है।
शरीर में विशेष कोशिकाएं मेलेनोसाइट्स मेलेनिन बनाती हैं। तम्बाकू में निकोटिन मेलेनोसाइट्स को सामान्य से अधिक मेलेनिन उत्पन्न कर सकता है। जिसकी वजह से मसूड़ों का रंग परिवर्तन होकर भूरा या काला हो सकता है। रंग में परिवर्तन पैच में दिखाई दे सकता है या मुंह के पूरे अंदर को प्रभावित कर सकता है। गाल और निचले होंठ के अंदर रंग भी बदल सकता है।

दवाइयों के अधिक सेवन से
मिनोसाइक्लिन का उपयोग मुंहासे और कुछ संक्रमण जैसे क्लैमिडिया के इलाज के लिए किया जाता है। मिनोकैक्लाइन का एक असामान्य साइड इफेक्ट पिग्मेंटेशन या मलिनकिरण होता है, जो कभी-कभी मुंह में हो सकता है। इसलिए दवाइयों के अधिक सेवन से भी बचना चाहिए।

एडिसन की बीमारी
एडिसन की बीमारी एड्रेनल ग्रंथियों को प्रभावित करती है, जो विभिन्न प्रकार के हार्मोन बनाती हैं। इस बीमारी के वजह से इन ग्रंथियों से पर्याप्त हार्मोन उत्पादन होना बंद हो जाता है। जिसका असर मसूड़ों पर भी दिखना पड़ता है। एडिसन की वजह से शरीर के कई हिस्सों पर गहरे धब्बे दिखने लगते है। एडिसन की वजह से इम्यून सिस्टम भी कमजोर होता है।

प्यूट्ज़-जेगर्स सिंड्रोम (Peutz-Jeghers Syndrome)
ये एक प्रकार की आनुवांशिक बीमारी है जो पॉलीप्स या कैंसर के विकास के जोखिम को बढ़ा देती है। आमतौर पर ये बचपन में दिखाई देना लगता है और उम्र के साथ ये गायब भी हो जाता है।

पेरिओडॉन्टल (Periodontal)
पेरिऑडॉन्टल ये रोग बच्चों में ज्यादा होता है, जब बैक्टीरिया मुंह में बढ़ता है तो दांतों और मसूड़ों को नुकसान पहुंचने लगता है। यदि बैक्टीरिया मंसूड़ों में ज्यादा बढ़ जाए तो परिणामस्वरुप मसूड़े काले हो जाते है। इससे बच्चों की प्रतिरक्षा प्रणाली भी कमजोर होती है। ये बीमारी बच्चों में नियमित रुप से ब्रश नहीं करने और मुंह में दूध जमा रहने के कारण होती है। इसलिए खाने के बाद बच्चों को दांतों को जरुर ब्रश कराएं।

क्या है उपचार
जिंजिविक्टॉमी सर्जरी
काले मसूड़ों की समस्या होने पर एक बार डॉक्टरी राय जरुर लें। अगर आपकी समस्या ज्यादा गंभीर है तो डॉक्टर जिंजिविक्टॉमी सर्जरी यानी मसूड़ों की सर्जरी की राय दे सकते हैं। इस सर्जरी के माध्यम से भी आप गुलाबी मसूड़े पा सकते हैं।

विटामिन डी
विटामिन डी में एंटी इंफ्लेटरी तत्व होते है इसलिए अगर आपके मसूड़े काले हो रहे है तो आहार में विटामिन डी शामिल करें। इसके सेवन से मसूड़ों से जुड़ी हर समस्या खत्म हो जाती है।

बेकिंग सोडा का इस्तेमाल
दांतों में ब्रश करने के बाद बेकिंग सोडा से या तो कूल्हा करें या थोड़ा इसे मसूड़ों पर पेस्ट बनाकर उपयोग करें। इससे मसूड़ों का कालापन जाने लगेगा।



Click it and Unblock the Notifications











